عکس های قبل و بعد از کامپوزیت دندان در صورتی که تصمیم گرفته اید این فرایند زیبایی را را روی دندان های خود انجام بدهید؛ یک دید کلی از ظاهری که لبخندتان بعد از اصلاح طرح لبخند پیدا خواهد کرد؛ به شما می دهد. این که بخواهید بدانید کامپوزیت دندان برای سایر بیماران چه نتیجه ای داشته است؛ کاملاً طبیعی است. پاسخ خود را نیز فقط می توانید با بررسی عکس های قبل و بعد کامپوزیت بگیرید و پس از اطمینان نتیجه رضایت بخش کامپوزیت، اقدام به اصلاح طرح لبخند خود نمایید.
کلینیک های دندانپزشکی خدمات زیبایی درمانی متعددی را از جمله لمینت، اصلاح لبخند لثه ای، ارتودنسی، بلیچینگ، ایمپلنت دندان و غیره به بیماران ارائه می دهند. برای اینکه تشخیص بدهید کدام نوع درمان بهترین نتیجه را برای شما خواهد داشت؛ در جلسه مشاوره از دندانپزشک بخواهید عکس های قبل و بعد از اصلاح طرح لبخند را که در آن کلینیک با روش های مختلف انجام گرفته به شما نشان بدهد. به این ترتیب بهتر می توانید تبحر دندانپزشک و به روز بودن تجهیزات مورد استفاده برای اصلاح طرح لبخند در آن کلینیک را بررسی کنید.
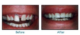
عکس کامپوزیت دندان
عکس کامپوزیت دندان، تصویری از دندانهای بیمار است که قبل و بعد از انجام عمل کامپوزیت تهیه میشود. این عکسها برای ارزیابی وضعیت دندانها، رنگ آنها و میزان ناهمواری سطح دندانها به کار میروند.
در عکس قبل از کامپوزیت، میتوان نواقص دندانها مانند شکستگی، ترک خوردگی، تغییر رنگ، فواصل بین دندانی و نامرتبی دندانها را مشاهده کرد. در عکس بعد از کامپوزیت، این نواقص برطرف شدهاند و دندانها ظاهری سالم، یکدست و زیبا پیدا کردهاند.
عکسهای کامپوزیت به دندانپزشک کمک میکنند تا روند درمان را به درستی برنامهریزی کند، رنگ مناسب کامپوزیت را انتخاب کند و پیشرفت کار را در طول درمان رصد نماید. همچنین این عکسها میتوانند برای بیمار نیز مفید باشند، زیرا به او نشان میدهند که دندانهایش بعد از کامپوزیت چه ظاهری خواهند داشت.
لازم به ذکر است که تفسیر دقیق عکس کامپوزیت دندان نیاز به دانش و تخصص دندانپزشکی دارد و باید توسط دندانپزشک انجام شود.
عکس کامپوزیت دندان قبل و بعد
عکس کامپوزیت دندان قبل و بعد، دروازهای به سوی دنیای لبخندهای زیبا و دلنشین هستند. این عکسها، گویای تحولی شگفتانگیز در ظاهر دندانها و در نتیجه، افزایش اعتماد به نفس و ارتقای کیفیت زندگی افراد هستند.
در عکسهای قبل، شاهد دندانهایی با نواقصی مانند نامرتبی، تغییر رنگ، لب پریدگی، شکستگی و یا فواصل نامناسب بین دندانی هستیم. این نواقص میتوانند زیبایی لبخند را تحتالشعاع قرار داده و حتی در روابط اجتماعی و شغلی فرد تاثیر منفی بگذارند.
اما در عکسهای بعد، لبخندی کاملاً متفاوت را مشاهده میکنیم. دندانهایی مرتب، همرنگ، بدون نقص و درخشان، جایگزین دندانهای نامناسب قبلی شدهاند. این تحول شگفتانگیز، به لطف هنر و ظرافت دندانپزشک و قدرت جادویی کامپوزیت رقم خورده است.
کامپوزیت، مادهای خمیری و همرنگ دندان است که توسط دندانپزشک متخصص، با ظرافت و دقت بر روی سطح دندانها قرار داده میشود. این ماده، نواقص دندانها را میپوشاند و ظاهری طبیعی و زیبا به آنها میبخشد.
عکس کامپوزیت دندان قبل و بعد، سند گویایی از رضایت و خرسندی بیحد و حصر بیماران هستند. این عکسها، نشاندهندهی معجزهای هستند که در دنیای دندانپزشکی زیبایی رقم میخورد و لبخندی زیبا و دلنشین را به ارمغان میآورد.
عکس کامپوزیت دندان جلو
برای زیباتر شدن دندان های خود می توانید از کامپوزیت دندان استفاده کنید. کامپوزیت دندان جلو علاوه بر زیباتر شدن دندان های شما باعث ترمیم و بهبودی آنها نیز می شود. یکی از مزیت های این خدمات دندانپزشکی اجرای دقیق رنگ دلخواه شماست. شما می توانید عکس کامپوزیت دندان جلو سایر دوستان را مشاهده کنید و رنگ مورد نظر را برای اجرا به دندانپزشک مربوطه ارائه دهید.
از آنجایی که کامپوزیت ها از جنس رزین هستند قابلیت ترکیب و تنظیم داشته و دندانپزشک می تواند کامپوزیت مورد نظر شما را طبق رنگ و عکس ارائه شده به اجرا درآورد. کامپوزیت باعث افزایش اعتماد به نفس و زیباتر شدن صورت شما می شود.
چطور عکس های قبل و بعد کامپوزیت را ارزیابی کنید؟
برای ارزیابی عکس های قبل و بعد کامپوزیت دندان بهتر است عیوب ظاهری دندان های بیمارانی که از کامپوزیت ونیر استفاده کردهاند را بررسی کنید و آن را با دندانهای خود مقایسه نمایید. اگر دندان های جلوی شما شکسته اند یا از هم فاصله دارند؛ به دنبال عکس هایی بگردید که چنین عیوب ظاهری را ترمیم کرده اند؛ سپس عکس های بعد کامپوزیت دندان این بیماران را با هم مقایسه کنید و ببینید آیا اصلاح طرح لبخند آنها با کامپوزیت دندان از نظر شما شما مورد تایید است یا خیر.
هنگام بررسی عکسهای قبل و بعد کامپوزیت دندان مزایای زیر را نظر بگیرید:
کامپوزیت ونیر سریع ترین روش اصلاح طرح لبخند است
کامپوزیت دندان طی یک جلسه درمانی بدون درد و عوارض جانبی انجام می گیرد
مراحل کاشت کامپوزیت دندان بسیار ساده است
مواد رزین بکار رفته در کامپوزیت کاملا با بافت دهان و دندان سازگارند
نیازی به تراشیدن مینای دندان برای کاشت کامپوزیت ونیر نیست
کامپوزیت ونیر یک فرآیند غیرتهاجمی و برگشت پذیر است
به چه نکاتی در عکس های قبل و بعد از کامپوزیت دندان توجه کنیم؟
• ظاهر دندان ها بعد از نصب کامپوزیت باید کاملاً طبیعی به نظر برسد
در سالهای اخیر روش کاشت کامپوزیت دندان پیشرفت قابل توجهی کرده است و با عرضه رزین های کامپوزیت نانو هیبرید، پس از فرم دهی و پولیش کردن بسیار به دندانهای طبیعی شباهت پیدا کرده است. کامپوزیت دندان بعد از نصب باید به طور کامل شفاف، درخشان و سفید به نظر برسد. بنابراین در عکس های بعد از کامپوزیت دندان به این نکته توجه کنید و و اگر به نظر شما دندان ها مصنوعی یا غیر طبیعی رسید؛ این مسئله را با دندانپزشک مطرح کنید.
• به نوع عیوب ظاهری دندان ها که با کامپوزیت ترمیم شده، دقت کنید
اگر عیوب ظاهری بسیار جدی مانند دندان از دست رفته در عکس ها مشاهده کردید؛ در این که این عکس ها مربوط به قبل و بعد از کامپوزیت دندان باشد؛ شک کنید و این مسئله را با دندانپزشک مطرح کنید. چون کامپوزیت دندان میتواند جایگزین دندان از دست رفته شود. همچنین برای پوشاندن عیوب ظاهری بسیار جدی مانند روی هم افتادن دندانها یا کجبودن بسیار شدید دندان ها نیز می توان از کامپوزیت ونیر استفاده کرد. اگر چنین مواردی را در عکس های قبل و بعد از کامپوزیت دندان مشاهده کردید بهتر است به کلینیک دیگری مراجعه کنید چون تمام عکس ها مربوط به فرآیند کاشت کامپوزیت دندان در آن کلینیک نیست.
با کامپوزیت ونیر می توان عیوب ظاهری جزئی زیر را در دندانها پوشاند:
• شکستگی یا ترک خوردگی
• کج بودن
• تغییر رنگ دادن
• فاصله جزئی
• کوتاه بودن دندان
• لبخند لثه ای
• لکه های دندانی
مقایسه عکس های قبل و بعد از کامپوزیت
کامپوزیت دندان یک فرآیند بدون درد و غیر تهاجمی است که رزین کامپوزیت را روی یک یا چند دندان جلویی بیمار که آسیب دیده اند یا تغییر رنگ داده اند؛ شکل میدهد. به نحوی که ظاهر و رنگ دندانها کاملاً با سایر دندانهای طبیعی منطبق باشد. رنگ رزین کامپوزیت دندان با توجه به سلیقه بیمار برای اصلاح طرح لبخند او به زیباترین شکل ممکن انتخاب می شود. کامپوزیت ونیر جایگزینی برای لمینت های سرامیکی است که طی یک فرآیند برگشتپذیر بدون نیاز به تراشیدن دندان نصب میشود.
مقایسه عکس های قبل و بعد کامپوزیت دندان به شما نشان می دهد که از این نوع ونیر برای پوشاندن کدام نوع عیوب دندانی می توان استفاده کرد. در ادامه چند نمونه از عکس های قبل و بعد کامپوزیت دندان را با هم مقایسه می کنیم:
1. تغییر رنگ دندان
همانطور که در عکس اولیه مشاهده می شود اصلی ترین مشکل این بیمار رنگ زرد دندانهای جلو بود. علاوه بر این، خط لثه بیمار نیز روی دندان های او را پوشانده بود. برای برطرف کردن این عیوب ظاهری از کامپوزیت دندان با سایه رنگ مناسب جهت کانتورینگ و ایجاد تقارن و همچنین روشن تر و سفید تر کردن دندان استفاده شد که در عکس دوم کاملا مشهود است.
2. فاصله جزئی بین دندان ها
عکس قبل از کامپوزیت دندان نشان میدهد که دندانها تاحدودی دارای لکه های رنگی هستند و فاصله زیادی نیز بین دندان ها وجود دارد. بنابراین همانطور که در عکس بعد کامپوزیت دندان می بینید از ونیر دندانی برای همرنگ کردن کل دندان و همچنین نزدیک کردن و بستن فاصله بین دندان ها استفاده شده است.
3. دندان های نامرتب
در عکس اول و قبل از کامپوزیت دندان مشخص است که فاصله زیادی بین دو دندان جلو وجود دارد. همچنین دندانهای پایین کج و نامرتب هستند. بنابراین از کامپوزیت دندان برای بستن فاصله دو دندان بالایی قسمت جلویی فک و منظم کردن ۶ دندان پایین در قسمت جلویی فک استفاده شده است. در عکس بعد از کامپوزیت دندان مشخص است که رنگ بندی کامپوزیت کاملا همرنگ دندان های طبیعی بیمار انتخاب شده است.
4. پوشاندن لکه های دندانی
مشکل این بیمار همانطور که در عکس قبل از کامپوزیت دندان میبینید فاصله زیاد بین ۴ دندان جلو و همرنگ نبودن دندانها با یکدیگر است. رنگ کامپوزیت دندان طبق سلیقه بیمار انتخاب شده و مطابق با عکس بعد از کامپوزیت دندان فاصله بین دندان ها بسته شده است تا طرح لبخند بیمار کامل شود.
5. شکستگی دندان
در عکس قبل از کامپوزیت دندان مشخص است که مشکل این بیمار تغییر شکل و شکستگی یکی از دندان های بالایی است. بنابراین کامپوزیت دندان مطابق با شکل بعد از کامپوزیت به این بیمار کمک کرده تا اندازه، شکل و رنگ دندان شکسته را با سایر دندان های طبیعی خود تغییر دهد.
تشخیص عکس های قبل و بعد اصلاح طرح لبخند با سایر روش ها به جز کامپوزیت
برای اینکه بهتر بتوانیم عکس های قبل و بعد از کامپوزیت دندان را با هم مقایسه کرده و تشخیص دهید کدام عکس ها مربوط به کامپوزیت دندان است؛ چند نمونه از عکس های مربوط به سایر روش های درمانی زیبایی دندان ها را با یکدیگر بررسی می کنیم. اگر چنین عکس هایی را به عنوان کامپوزیت دندان به شما نشان دادند نسبت به دانش و تبحر دندانپزشک تردید کنید چون عکس هایی که در ادامه خواهید دید مشکلاتی از عیوب ظاهری دندان را نشان می دهد که ونیر کامپوزیت نمیتواند آنها را پوشش دهد.
• ساییدگی یا شکستگی و تغییر رنگ بسیار شدید دندان ها
1. در عکس قبل از کاشت ونیر دندان مشخص است که چندین دندان بیمار ساییده و شکسته شده اند همچنین لکه سیاه رنگی روی یکی از دندان ها مشاهده می شود. این نوع عیوب ظاهری دندان، توسط لمینت سرامیکی پوشش داده میشوند و برای اصلاح طرح لبخند این بیمار نمی توان از کامپوزیت دندان استفاده کرد.
2. با مقایسه عکس قبل و بعد از اصلاح طرح لبخند این بیمار مشاهده می کنید که جای یک دندان خالی به طور کامل پر شده است. به خاطر داشته باشید که کامپوزیت ونیر نمیتواند جای خالی دندان از دست رفته را پر کند. مطمئنا برای اصلاح طرح لبخند این بیمار از روکش دندان ایمپلنت یا روش بریج استفاده شده است.
3. با توجه به اینکه در طرح لبخند این بیمار تعداد زیادی از دندان ها نمایش داده می شود و این بیمار دچار عارضه لبخند لثه ای است که دندان های او به خوبی هنگام لبخند زدن نمایش داده نمی شوند؛ برای اصلاح طرح لبخند لثه ای باید تقریباً ده دندان جلویی بلندتر شوند. هرچند می توان از کامپوزیت دندان برای اصلاح طرح لبخند این بیمار استفاده کرد اما چون درمان طول عمر کامپوزیت نسبت به لمینت کمتر است؛ برای اصلاح دندانهای جلویی با تعداد بیشتر از ۴ یا ۶ عدد معمولاً از لمینت سرامیکی استفاده شود. به این مورد توجه کنید که عمر کامپوزیت دندان های جلو با توجه به نوع برند و نحوه استفاده شما فرق خواهد کرد.

4. در عکس قبل از کامپوزیت دندان این بیماری مشهود است که فاصله زیادی بین دو دندان جلویی وجود دارد و یک لکه سیاه نیز بالای دندان جلویی او دیده میشود. کامپوزیت دندان برای پر کردن فاصله زیاد بین دندان ها چندان مناسب نیست. اگر بیمار قصد نداشته باشد از روش تهاجمی و تراش دندان برای کاشت لمینت سرامیکی استفاده کند مطمئنا قبل از اصلاح طرح لبخند با کامپوزیت ونیر
باید از روش ارتودنسی استفاده کرده و فاصله بین دندانها را تا حد ممکن کم کند. در هنگام اصلاح طرح لبخند و استفاده از کامپوزیت به برند توجه کنید زیررا عمر کامپوزیت دندان های جلو رابطه مستقیمی با برند آن دارد.
5. این بیمار جوان هم همانطور که در عکس قبل از اصلاح طرح لبخند مشخص است از لبخند لثه ای رنج می برد و بافت لثه این بیمار روی دندان های او را پوشانده است. برای اصلاح طرح لبخند این بیمار باید ابتدا کانتورینگ لثه انجام گیرد سپس میتوان از کامپوزیت یا لمینت برای یکدست کردن دندان ها بهره برد.
6. بررسی عکس قبل از اصلاح طرح لبخند نشان می دهد که دندان های این بیمار، عیوب ظاهری متعددی داشته است. علاوه بر اینکه برخی از دندان ها کج هستند و روی یکدیگر افتاده اند؛ فاصله بین دندان های جلو و وجود دارد و دندانها نیز تا حدودی به سمت جلو شیب دارند. برای برطرف کردن تمام این عیوب ظاهری نمیتوان از کامپوزیت دندان بهره گرفت بلکه باید لمینت پرسلین به طور اختصاصی برای این بیمار پس از قالب گیری از دندان ها سفارش داده شود.
7. در عکس قبل از اصلاح طرح لبخند میبینید که یکی از دندانهای بیمار بسیار کوتاه تر از سایر دندان هاست و در عین حال باید از ونیر دندانی برای یکدست کردن تمام دندان ها با یکدیگر استفاده کرد. استفاده از کامپوزیت برای اصلاح طرح لبخند این بیمار دوام چندانی نخواهد داشت و دندان کوتاه به سرعت ساییده شده و کامپوزیت دندان از بین خواهد رفت. بنابراین بهتر است لمینیت ونیر برای اصلاح طرح لبخند این بیمار به کار برده شود.
8. این خانم جوان همانطور که از ظاهر دندان های او در عکس قبل از اصلاح طرح لبخند مشخص است اصطلاحاً دارای دندانهای خرگوشی است و همچنین چند لکه روی سایر دندان های او دیده می شود. دندانهای خرگوشی جلو موجب شده اند که سایر دندانها، نامنظم به نظر برسند. برای برطرف کردن مشکل این بیمار همانطور که در عکس بعد از اصلاح طرح لبخند دیده میشود از لمینت سرامیک استفاده شده است.
9. دندانهای این بیمار در عکس قبل از اصلاح طرح لبخند تغییر رنگ بسیار شدیدی دارند. کامپوزیت دندان نمیتواند چنین تغییر رنگی را به اندازه عکس بعد از اصلاح طرح لبخند روشن و سفید کند. مطمئناً برای این بیمار لمینت سرامیکی استاندارد با درجه رنگ بسیار روشن سفارش داده شده است.
10. در عکس قبل از اصلاح طرح لبخند کاملا مشخص است که دندانهای بیمار بسیار وضعیت ناجوری دارند. چند دندان از دست رفته و پرکردگی های بسیار عمیقی نیز در سایر دندانها دیده میشود. اصلاح طرح لبخند چنین بیماری به هیچ وجه با کامپوزیت دندان امکانپذیر نیست. دندانپزشک ابتدا باید به طور کامل پوسیدگیهای دندان ها را برطرف نماید سپس با ایمپلنت، جاهای خالی دندان های از دست رفته را پر کند و برای سایر دندان ها از لمینت سرامیکی استفاده کنند.
11. دندان خرگوشی و روی هم افتاده این بیمار نیز در عکس قبل از اصلاح طرح لبخند کاملاً واضح و مشخص است. دندانپزشک برای اصلاح طرح لبخند از ونیر پرسلین سفارشی طراحی شده در لابراتوار با توجه به قالبی که از دندان ها گرفته شده استفاده کرده است. با نصب در لمینت سرامیکی نیازی به استفاده از روش های گران قیمت و طولانی مدت مثل نصب براکت و ارتودنسی نیست و همانطور که در عکس بعد از اصلاح طرح لبخند دیده میشود؛ دندان های بیماران کاملا صاف و یکدست شدهاند.
منبع
https://dentistspreston.com/dental-bonding-before-after
سلام وقت بخیر ببخشید کامپوزیت برای دندون هایی که یکم عقب هست مناسبه؟ یعنی میتونه کمک کنه دندون ها یکم جلو تر بیاد؟